高知県のインビザライン矯正の
5人に1人が通っている
アポロニア歯科クリニック
3年連続
インビザライン
ダイヤモンドプロバイダー
高知県
トップクラスの
矯正実績
195件
(2024年)
小児矯正・大人矯正実績 多数
歯科検診でお手紙をもらった場合
お子さまの矯正検査・診断が
保険でできるようになりました。
矯正無料カウンセリング
症状やお悩みをカウンセラーがお伺いします
※検査をする場合は有料となります
01歯並びについて相談できる
矯正治療は大きな決断だからこそ、当院では事前のカウンセリングを重視しています。治療のメリット・デメリットや疑問点について、詳しくお伝えします。
歯並びについて相談できる
矯正治療は大きな決断だからこそ、当院では事前のカウンセリングを重視しています。治療のメリット・デメリットや疑問点について、詳しくお伝えします。
02本当に矯正が必要か?
最適な治療法はなにか?がわかる
医師・歯科衛生士が専門的な観点から、あなたの現状に合わせた治療法をご提案します。
03簡易見積もりで矯正する場合の
期間・費用がわかる
ご自身の歯並びや噛み合わせの状態に基づいた、おおよその治療期間や費用がわかります。(※詳細を知りたい場合は有料の精密検査が必要です)
当院の矯正治療が選ばれる
3 つの理由
高知県の
インビザライン矯正の
5人に1人は当院の患者様
インビザライン
ダイヤモンドプロバイダー認定
当院は、インビザラインの「ダイヤモンドプロバイダー」に認定されています。年間症例数が150件以上で認定されるランクで、高知県ではトップクラスの実績です。
都市部に行かずとも先進的な矯正治療を受けることができ、市外・県外からも来院いただいています。
都市部の先端歯科と
同レベルの
高い治療技術
当院は矯正治療だけではなく、インプラントや精密根管治療、虫歯治療、予防歯科等も行っており、矯正治療前や治療中の、虫歯治療や便宜抜歯なども当院で行うことができます。
常に新しい治療を提供。
高知県トップクラス規模の
総合歯科
常勤3名の歯科医師と12人の歯科衛生士が在籍する、県内トップクラスの規模を誇る総合歯科です。この規模だからこそできる、常に新しい医療技術、情報を取り入れ、都市部と変わらない医療を提供できるよう日々研鑽しています。
矯正治療は
「どこで受けても同じ」
ではありません。
AIで治療シミュレーションができるようになり、残念ながらAI任せになったり、医師の技術不足により必要以上に矯正期間が延びるケースもあります。
当院では、すべての症例の治療計画立案をダイヤモンドプロバイダー認定ドクターの院長が行っております。

言われた方も
ご相談ください。
矯正治療 1,079 件 の実績
小児矯正の実績も
多数
小児矯正の実績も多数
小児矯正のメリット
- 痛みや負担が少ない
- 抜歯リスクが低い
- 後戻りしにくい
- 治療期間が短く済む
- 姿勢やお口の悪い癖から改善できる
早くから矯正治療を始めることで、お子さまの負担を抑えながら歯並びを整えていくことができます。
お子さまが治療を受けやすい仕組みを
用意しています
DVDを見ながら診療を受けられるキッズ診療室を用意しており、通うのが楽しみというお子さまも多いです。
キッズ専用診療台は、治療機器が見えず、マットのように寝転がって診療を受けられるので、怖く感じにくくなっています。
またきょうだいでの診察は同時に行うなど、親御さんの負担を減らせるように診療しています。
※お子様の年齢や状態によっては同時に診療ができない場合があります
「ママとこどものはいしゃさん」に
加入しています


ママとこどものはいしゃさんとは?
お子さまの歯科診療、矯正治療を得意とする全国の歯科クリニックが所属する「ママとこどものはいしゃさん」は、厳しい審査基準があり、お子さまとご家族が不安なく治療を受けられると認められた歯科クリニックのみが加入できます。
通いやすいシステム・設備で、
待ち時間を最大限削減


- 予約制なので、待ち時間が少ない
- LINEから予約変更ができる
- 駐車場23台分あり
- 通し診療で、お昼休みの受診も可能
診療時間: 9:30〜17:30
LINEで歯並び相談
お友達追加
当院のLINEを追加してください。
LINEのトーク画面で以下3点をお知らせください
①年齢
②性別
③相談したい内容
① 奥歯でしっかり噛んで、正面から
上下の歯が写るように全体を撮影
② 気になるところを撮影
矯正期間が短く済む
加速矯正装置を導入
インビザライン矯正との併用で
こんなことが期待できます
- 歯周組織の活性化を促進させ、歯の動きをスムーズにすることで、矯正期間を短縮できます。
- 炎症を抑制し、痛みや違和感を軽減します(※個人差があります)
1〜3ヶ月に
1回程度の
通院に
遠隔チェックに対応
通院回数を少なくできます。
週1回ご自身で撮影した 口腔内写真が医院とAIシステムに 送信される遠隔チェックを 導入しています。
- こまめな進捗チェック
- 修正が必要な場合も早めに気がつく
- 計画通りのスムーズな矯正
通院回数が少なくて済むため、遠方からも多くの方が通院されています。
料金
月々 7,800円 (税込) ~
おとなの矯正
全顎矯正
マウスピース矯正(インビザライン)
円~
治療内容
透明で目立ちにくいマウスピース型の矯正装置です。取り外しが可能なため清掃しやすく衛生的です。矯正治療をしていることに気付かれたくない方や、金属アレルギーの方にオススメです。
こんな歯並びの方が対象です
- 1 デンタルローンご利用例(実質年利率3.03%、120回払いの場合)初回:15,933円(税込)/2回目以降:10,900円(税込)
- 矯正相談は無料です
- 精密検査料11,000円(税込)が別途必要になります
スマイル矯正
円~
治療内容
笑顔が綺麗になるようによく見える歯を中心に行なうマウスピース型の矯正治療です。患者様の口腔内環境によっては全顎矯正の方が望ましい場合もあるため、詳細はカウンセリングの際にご相談下さい。
こんな歯並びの方が対象です
- 2 デンタルローンご利用例(実質年利率3.03%、120回払いの場合)初回:15,144円(税込)/2回目以降:7,800円(税込)
- 矯正相談は無料です
- 精密検査料11,000円(税込)が別途必要になります
プチ矯正
円~
治療内容
インビザラインを活用したマウスピース型の部分矯正です。一部分だけ治療を行いたい方や、一度矯正治療を行った方の再治療としてご活用いただくことが多いメニューとなります。
こんな歯並びの方が対象です
- 3 デンタルローンご利用例(実質年利率3.04%、120回払いの場合)初回:16,021円(税込)/2回目以降:6,400円(税込)
- 矯正相談は無料です
- 精密検査料11,000円(税込)が別途必要になります
こどもの矯正
安心のトータルフィー制度を
採用しています
小児矯正の費用についての不安を少しでも軽減するため、 トータルフィー制度を採用しています。契約期間内なら、調整料、経過観察が料金に含まれており、不意の出費に頭を悩ませる心配は不要です。
| 精密検査料 | 11,000円 |
| I期治療 | 660,000円 |
| II期治療 | I期治療費用 +330,000円 |
| 調整費・管理費 | 治療費に 含まれています |
※表示金額は全て税込みです。
お支払い方法
当院は、下記のお支払い方法に
対応しております。
矯正治療は医療費控除の
対象です
1年間の医療費(世帯合計)が10万円を超えた場合、
税務署に申告すると還付金や住民税の減税を受けることができます。
超過分
確定申告で
所得控除が受けられます
10万円 総所得等金額が
200万円未満の場合
その総額の5%以上
同一生計の家族の
医療費合計額
矯正治療のような自費治療でも、機能性の回復を目的とした治療の場合は医療費控除の対象となります。 ※対象条件や申請方法について詳しくは、税務署や公式サイトをご確認ください。
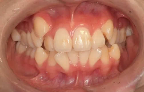
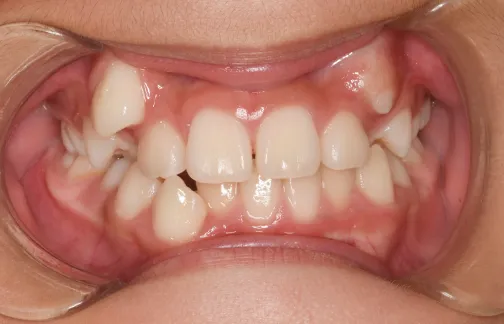
症例
こどもの症例
- 診断名
- 下顎前歯部叢生、上顎犬歯低位唇側転移(八重歯)、歯列弓狭窄
- 治療内容
- 顎の骨の成長が遅く、うまく永久歯が出てこられませんでした。歯の移動とともに、顎の骨も拡げて、永久歯の抜歯を行うことなく歯が並ぶスペースを確保しました。八重歯も改善しています。
- 料金
- 660,000円(税込)
- リスク・副作用
- 歯並びが悪くなる原因の多くは、顎の骨の成長不足によるものです。このように骨の成長を促す治療は、原因へのアプローチになりますので、後戻りリスクを抑えることができます。 しかしながら、年齢や成長発育段階によって、適応とならないお子さんもいらっしゃいます。 また、自分で着脱可能な矯正装置ですので、お子さんのモチベーションが大切になってきます。お子さんの協力が得られず、マウスピースを入れてもらえない場合は、改善が期待できません。 小児の矯正治療は、永久歯の萌出スペースを確保するための治療であり、美しい永久歯列を作ることを目的としていません。今後、更に患者さんが成長していくなかで、歯並びの変化が起きる可能性があります。
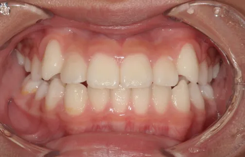
おとなの症例
- 診断名
- 下顎前歯部叢生、上顎犬歯低位唇側転移(八重歯)
- 治療内容
- 重度の歯列不正があり、主に八重歯を気にされてご相談をお受けしました。コンピューターで矯正シミュレーションを行ったところ、非抜歯では充分な改善が得られなかったため、上下左右の第一小臼歯を抜歯した上で、マウスピース矯正を行いました。患者さんご自身の熱意もあり、しっかりとマウスピースを装着していただけましたので、比較的短期間で改善させることができました。
- 治療期間
- 1年4ヶ月
- 料金
- 990,000円(税込)
- リスク・副作用
- 小臼歯を抜歯しての全顎的な矯正ですので、抜歯したスペースを完全に閉鎖することができない場合や、抜歯部の前後の歯の傾きが目立つことがあります。また、成人矯正では一般的なことですが、歯を大きく移動させることで、噛み合わせが変化してしまい、お食事がしにくくなることがあります。このような場合は、咬合調整にて対応いたします。 歯列不正が改善することで、逆に歯の隙間が目立つ(ブラックトライアングル)ことがあります。
矯正治療の流れ
歯並び・矯正無料相談
まずは当院の無料相談をご利用ください。歯科医師がカウンセリングを行い、お口の中をチェックして、矯正治療のおおまかな流れや概要についてご案内いたします。
精密検査
治療を希望される場合は、治療計画の作製に必要なデータを採取するために精密検査を行います。歯科用CTや頭部専用のセファロを活用して、骨の状態を確認し、負担の少ない口腔内スキャナー(iTero)で歯型を採取します
検査結果・
治療方針のご案内
精密検査の結果をもとに、一人ひとりに適した治療計画を作成し、診断結果とともにお伝えします。わかりやすい説明を心がけておりますが、不明な点などはどうぞ遠慮なくおたずねください。
治療開始
治療計画に同意いただければ矯正治療を開始します。装置の取り扱いなどわからないことは遠慮なくおたずねください。治療期間中は治療法や装置に合わせた頻度での定期通院をお願いしています。
経過観察・保定期間
治療が完了すれば、後戻りなどがないか経過観察を行います。装置によっては、後戻り防止装置を装着していただくための保定期間が設定されている場合があります。
よくある質問
治療期間はどのくらいかかりますか?
矯正治療の難易度にもよりますが、短いケースで半年程度、難しい症例では3年ほどかかることもございます。当院での治療期間は平均すると1.5年ほどです。
抜歯する必要はありますか?
抜歯が必要かどうかは患者様ごとによって異なります。抜歯が必要と診断されたケースでもどうしても非抜歯矯正治療をご希望の場合は、一度ご相談下さい。症例を見て適切な処置をご提案させていただきます。
どのくらいの期間で通院が必要ですか?
矯正は患者さまの歯がどのような状態であるかによって、完了するまでの期間と通院頻度が変わってきます。矯正初期は1〜2週間程度の短い期間で来院をお願いしますが、その後は6〜8週間に一度の通院で大丈夫です。お忙しい方や出張が多い方などでも矯正は可能です。
治療中に食事の制限はありますか?
矯正中でも食事のときはマウスピースを外すことができるため、食事制限は特にはございません。食事後の歯磨きは可能な限り実施をお願いしております。
上の歯、下の歯だけでも矯正はできますか?
部分矯正は可能です。ただし、上下のかみ合わせの状態によっては難しい場合があるためまずは一度ご相談下さい。
支払い方法は何がありますか?
現金、クレジットカード、銀行振込、デンタルローンの4種類がございます。症例によっては、ローンでのお支払いの場合も医療費控除を受けることが可能です。
誰もが通院しやすいバリアフリー環境。
完全個室診療室、ファミリー専用診療室
誰もが通院しやすい
バリアフリー環境。
完全個室診療室、
ファミリー専用診療室

高知県初導入
高精細スキャン iTero Lumina
高知県初導入
高精細スキャン
iTero Lumina
新しい設備を取り揃え、より正確で緻密な治療を提供しています。
新しい設備を取り揃え、
より正確で緻密な治療を提供しています。
医師紹介
院長
日野 謙一郎
HINO KENICHIRO
経歴
- 1974年
- 大阪府堺市生まれ
- 1999年
- 朝日大学歯学部を卒業し、歯科医師免許を取得。大阪歯科大学付属病院勤務へ
- 2001年
- 結婚を機に高知へ移住
- 2003年
- 技術と経営の勉強のためいったん大阪に戻る。(医)真摯会クローバー歯科クリニック副院長就任
- 2007年
- 國澤歯科を継承、名称変更、移転
- 2020年
- 医療法人仁徳会 設立 理事長就任
経歴
- 1974年
- 大阪府堺市生まれ
- 1999年
- 朝日大学歯学部を卒業し、歯科医師免許を取得。大阪歯科大学付属病院勤務へ
- 2001年
- 結婚を機に高知へ移住
- 2003年
- 技術と経営の勉強のためいったん大阪に戻る。(医)真摯会クローバー歯科クリニック副院長就任
- 2007年
- 国澤歯科を継承、名称変更、移転
- 2020年
- 医療法人仁徳会 設立 理事長就任
所属学会・スタディグループ
- 日本床矯正研究会
- 日本小児歯科学会
- 国際審美学会
- 日本臨床歯科CADCAM学会
- 日本口腔インプラント学会
- 国際歯周内科学研究会
- 日本抗加齢医学会
- 日本障害者歯科学会
- 日本口腔感染症学会
院内施設・設備のご紹介
アクセス
〒780-0966 高知市福井扇町1182-1
診療時間
| 診療時間 | 月 | 火 | 水 | 木 | 金 | 土 | 日・祝 |
|---|---|---|---|---|---|---|---|
| 9:30 ~ 17:30 | ● | ● | ● | ー | ● | ● | ー |


